Charlotte and Brennan enjoyed an afternoon of fun with their cousins, Nick, Miles and Suzy. The played many video games and had a few rounds of laser tag. Even the moms and dads joined in the fun!
It was also a nice way for Auntie Gayle and Uncle Mike to spend the day indoors in air conditioning, since their power was out from Friday 8 pm to Monday at 10 am!! 62 hours total!!!
And that was when we were not only experiencing temperatures in the 80's and 90's, but dew points near 100% -- those are extremely hot, humid conditions!!!
Sunday, June 30, 2013
Doctor Appts
Charlotte went to the orthopedic to have her wrist rechecked. This time the ortho thought the problem was more tendon than with the bone, but the outcome was the same: another cast.
Here she is getting one sawed off before another (looser) one can be put on.
I think this lady was new at this!
Brenny had a visit to the eye doctor and found out his prescription has worsened greatly. He got new lenses put in his frames and also got a brand new pair of prescription sunglasses!!
Wednesday, June 12, 2013
Another visit to the Ortho
This time it was Charlotte. Last year was the year of the fractured ankle, this year it's the fractured wrist. The scaphoid bone, to be precise. And the growth plates (again!!) She wasn't too upset, though. The cast is waterproof, pink and full of glitter!!!
Waterproof padding
Layer 1
Layer 2 (not done yet...)
Add some glitter for sparkle!!!
Ta-Da!!!!!
Pink and sparkly. Happy girl.
Wednesday, June 5, 2013
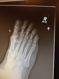
Bill's deformed foot
So Bill's big toe never grew properly and his foot has tried to make up for it. He went to see an orthopedic doctor today and was told he need to wear orthopedic inserts for the swelling and terrible foot pain he's been having. Well, at least now he knows why his foot was hurting him.
Last day of school
The kids enjoyed their last day of school today. 6- 5- 2013
Brenny finish 3rd grade and Char Char finished 5th grade.
Brennan and his "girlfriend," Ava.
Charlotte walking out of school on her very last day of elementary school, ever!!!
Char got crazy pink hair at her end-of-year party. Cute!!!
Charlotte's 5th grade field trip to MOA
Charlotte's grade took an end-of-year field trip to the Mall of America. Janet went along as a chaperone. We were there from 10 am - 7 pm! What an exhausting (but fun) day!!!
Charlotte and her teacher, Ms. Johnson, going on the Avatar Airbender.
The posse: Emma, Marin, Charlotte, Ayana, and Lauren.
Charlotte and Harry.
The girls won stuffed animals.
Shopping at LuLuLemon.
Emma and Char at Kokomo's restaurant.
The scene of the scene -- Jimmy Neutron where Mom had a bit of a panic attack!
(Yes, I did scream like a girl!)
Saturday, June 1, 2013
Brennan's Field Trip to Como Zoo and Conservatory
Brennan's class took a field trip to Como Zoo on Friday. Janet chaperoned Brennan and two of his classmates, Ben and Henry. We had a great time!
First their was a class on African Animals, their biomes, eating habits, etc. The Zoo worker showed the kids a giant millipede, a hedgehog and a snake.
First their was a class on African Animals, their biomes, eating habits, etc. The Zoo worker showed the kids a giant millipede, a hedgehog and a snake.
Brenny volunteered to dress up in the desert apparel -- hat, white shirt, flip flops and sunscreen. I don't think he cared for the hat!
Here are more shots from our day:
Brennan and his teacher, Mrs. Dunphy:
In the Japanese Bonsai gardens. The boys liked the "forest" below:
Brenny's favorite bosai tree:
Animal shots:
In the conservatory:
Subscribe to:
Comments (Atom)
























